
従来のFMD検査は、汎用超音波画像診断装置を使い、高度な計測技術を必要とする検査で、広く臨床の場で活用されるまでには至りませんでした。
そこで登場したのが、下記の特徴を持ったユネクスイーエフ シリーズです。
特徴1:長軸画像と短軸画像が同時に描出できるH型プローブ
ユネクスイーエフのプローブは、長軸画像と2つの短軸画像を同時に描出できるH型をしています。 そのため、血管走行と超音波ビームが直行となる位置にプローブを調整することが容易となりました。
また、血管位置がズレた際にもどちらの方向に動いたかが分かり、血管を見失うことがありません。

特徴2:プローブ保持、微調整可能なハイブリッドアーム

従来の汎用超音波画像診断装置を用いたFMD測定では、プローブの保持や微調整に高度な手技が必要でした。 この課題を解決するために開発されたのがハイブリッドアームです。 マニュアル操作によるプローブの広い可動域の確保と、ソフトウェア制御による微細な調整とを併せ持つハイブリッドアームにより、 血管位置の「探索」、「微調整」、「保持」が可能となりました。
特徴3:Aモード計測により高い再現性の実現

血管径計測は、Bモード画像の5倍の分解能を持つAモード波形による計測を採用することにより 検者間誤差を少なくし、高い再現性を実現しています。
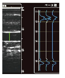
特徴4:トレンドグラフで真の最大拡張径を捉える
駆血開放後、血管が最も拡張する時間は30~90秒程度と個人差があります。 この個人差を、一拍ごとの血管径変化をトレンドグラフで表示する事により、最も血管が拡張した拍を捉えることができます。 これにより、真の最大拡張径によるFMD値の算出を可能としています。

新機能:筋肉分析
ユネクスイーエフはFMDの値と共に、上腕二頭筋の筋肉量と筋質(霜降り度)が算出可能です。

